Erwachsene

Zahnkorrekturen sind in jedem Alter möglich — ästhetische Lösungen wie Aligner oder unauffällige festsitzende Zahnspangen bieten diskrete Korrekturen. Bei komplexeren Fällen arbeiten wir eng mit Kieferchirurgen und Spezialisten zusammen, um optimale Ergebnisse für Funktion und Aussehen zu erzielen.

Zahnkorrektur

Aligner & Zahnspangen
für Erwachsene

Eine Korrektur der Zahnstellung ist in jedem Alter möglich. Oftmals besteht der Wunsch nach einer ästhetisch ansprechenden Lösung. Dafür gibt es die Möglichkeit der Aligner-Therapie und der auf die Innenseite der Zähne befestigten festsitzenden Zahnspange. Selbstverständlich ist auch die klassische festsitzende Zahnspange, auf Wunsch mit ästhetischeren/unauffälligen Keramikbrackets möglich.

Sollte eine ausgeprägte skelettale Diskrepanz bestehen, ist eine interdisziplinäre Behandlung mit Mund-Kiefer- und Gesichtschirurgen indiziert. Bei Gingivarezessionen kann eine chirurgische Deckung indiziert sein. Auch hierfür arbeiten wir eng mit Kolleginnen zusammen.

Festsitzende Zahnspange

Nicht jede Zahnfehlstellung lässt sich mit herausnehmbaren Spangen behandeln. Für multiple, dreidimensionale Zahnbewegungen werden sogenannte „Brackets“ auf die Zähne geklebt. Auch hier wird die Behandlung vorab digital geplant. In meiner Praxis wird ausschließlich modernes Bogenmaterial verwendet. Damit wird eine besonders sanfte Behandlung mit biologischen Kräften möglich.

Auf Wunsch schützen wir während der Behandlung die Zähne zusätzlich durch spezielle Maßnahmen vor Karies und Entkalkungen. Eine regelmäßige halbjährliche Kontrolle beim Zahnarzt ist auch während der kieferorthopädischen Behandlung selbstverständlich weiterhin zu empfehlen.

Aligner

Die Behandlung mit Alignern erfolgt mit fast unsichtbaren, digital geplanten Schienen. Die Aligner werden den ganzen Tag außer beim Essen und Zähneputzen getragen. Dadurch wird eine gute Mundhygienefähigkeit gewährleistet. Durch das digitale Setup ist eine sehr kontrollierte Zahnbewegung mit sanften, dosierten Kräften möglich.

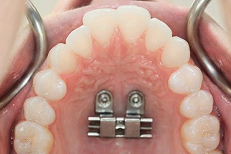
Skelettale Verankerung

Es gibt verschiedene Arten von temporären Miniimplantaten, die je nach Behandlungsziel im Gaumen oder Alveolarfortsatz gesetzt und nach der Behandlung wieder entfernt werden. Mittels skelettaler Verankerung können Zähne eingereiht werden, die sonst keinen Platz hätten und ggf. extrahiert werden müssten.

Kranio­mandibuläre Dysfunktion

Probleme und Schmerzen beim Kauen und in den Kiefergelenken nennt man Craniomandibuläre Dysfunktion (CMD). Kiefergelenkserkrankungen machen sich jedoch nicht immer nur am Kiefer bemerkbar – morgendliche Kopfschmerzen, Nackenverspannung, Schmerzen an der Halswirbelsäule oder selbst Ohrgeräusche können ihre Ursache in einer Kiefergelenkserkrankung haben. Im Rahmen der Funktionsdiagnostik lassen sich vorliegende Funktionsstörungen erkennen und können, ggfs. in Zusammenarbeit mit zahnärztlichen Kollegen oder Spezialisten aus der Osteopathie und Physiotherapie behandelt werden.

Knirscherschiene

Nächtliches Knirschen passiert in der Regel unbewusst. Es führt zu Abrasionen der Zähne und hat häufig Verspannungen der Kaumuskulatur, des Nackens und des gesamten Rückens zur Folge. Nach einer genauen Befundung besprechen wir, welche Art der Schiene für Sie sinnvoll ist

Schnarcher­schiene

Der Schlaf bei Patienten, die schnarchen ist oft wenig erholsam. Eine Schnarcherschiene öffnet die Atemwege indem der Unterkiefer nach vorne bewegt wird. Indem der Schlaf weniger unterbrochen wird ermöglicht die Schnarcherschiene einen erholsameren Schlaf.

Sportmundschutz

Für Kinder, Jugendliche und Erwachsene

Ein Sportmundschutz dient dem Schutz der Zähne, des Kieferknochen und des Weichgewebes im Mund beim Sport. Er besteht aus einem elastischen Material, um Schläge zu dämpfen. Dabei fängt er die einwirkende Kraft auf und verteilt sie auf der gesamten Fläche des Schutzes, um die Wirkung auf dahinterliegende Gewebe zu verringern.

Kariesprophylaxe bei Zahnspangen

Gesunde Zähne – ein Leben lang

Mit speziellen Maßnahmen können wir die Zähne während der Behandlung vor Karies und Entkalkungen schützen. Eine regelmäßige halbjährliche Kontrolle sowie die professionelle Mundhygiene beim Zahnarzt sind auch während der kieferorthopädischen Behandlung selbstverständlich weiterhin zu empfehlen.